La caries y la enfermedad periodontal son las patologías orales más comunes que afectan en gran porcentaje a la población de nuestro paÍs.
La odontología preventiva merece gran importancia.
Nuestros niños desde temprana edad (2 años), ya están listos para su primera visita y chequeo dental.
Ellos merecen una dedicada atención odontológica basada en la adaptación sicológica, paciencia, respeto y comunicación por parte de los padres y el profesional, evitando de esta manera experiencias previas negativas y traumas futuros que en el mañana puedan producirse por enfermedades bucales avanzadas.
Los niños son angelitos de Dios. Son la expresión de inocencia y ternura mas grande que existe en este mundo. Son fuente de vida y esperanza. Amar a nuestros niños implica hacerlos felices en su tratamiento dental!
En los primeros meses de vida se deben limpiar las encías y dientes del infante con una gasa impregnada en agua estéril o solución fisiológica. Se debe aplicar un masaje en boca para eliminar la placa bacteriana.
A partir del 1er año de edad los padres pueden usar el cepillo para limpiar los dientes de leche conjuntamente con una crema dental esoecialmente diseñada para niños de agradable sabor.
Aproximadamente a los 7 años, los pequeños deben adquirir el hábito de cepillarse adecuadamente ellos solos, pero siempre bajo supervisiòn de los padres.
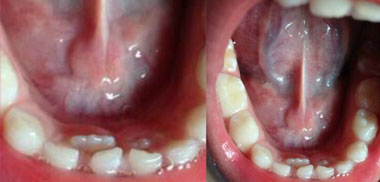
CASO CLINICO
Se observa claramente los centrales inferiores permanente por detrás de los centrales inferiores temporales.
¡Padres! ¿Qué hacer cuando viene un diente permanente y el temporal todavía se encuentra en boca obstaculizando el proceso de erupción del mismo y que este a su vez, ocupe el lugar que le corresponde?
Hay que llevar al paciente al odontólogo lo más pronto posible para extraerle el diente de leche.
La prevención siempre será un procedimiento más econòmico y más fácil que la curación, en el cual el dolor no existe. Recuerde que una sonrisa sana es signo de salud vital.
